Orthopedic Care
At Atlas Pet Vets, we offer comprehensive orthopedic care focusing on comfort, mobility, and long-term quality of life.
Orthopedic Care
At Atlas Pet Vets, we offer comprehensive orthopedic care focusing on comfort, mobility, and long-term quality of life.
Lameness, joint pain, and injuries can be stressful for both pets and their families, which is why our approach centers on education, transparency, and thoughtful discussion of all available options. We are proud to offer a wide range of orthopedic services in-house and to guide families through complex decisions with clarity and compassion.
Dr. Daniel Anthony
Dr. Daniel Anthony is a general practice veterinarian who leads our orthopedic services team. He managed complex orthopedic cases early in his career by performing orthopedic surgeries for patients from the Dallas SPCA. At Atlas Pet Vets, Dr. Anthony regularly performs orthopedic surgeries on a weekly basis, allowing him to maintain a high level of surgical proficiency and provide advanced musculoskeletal care to his patients.
Dr. Anthony has extensive advanced training in orthopedic evaluation and surgery, including TPLO procedures, fracture repair, medial luxating patella (MLP) surgery, hip repair, and management of a wide range of sport-related injuries. His continuing education training was completed at Bark City Veterinary Specialty Center in Park City, Utah, and Louisiana State University.
Orthopedic Consultations
Every orthopedic case begins with a thorough consultation. We take time to review your pet’s history, physical exam findings, and diagnostic imaging, then walk through medical management, rehabilitation, and surgical options when appropriate. Our goal is for you to feel informed and empowered to choose the best plan for your pet’s needs, lifestyle, and comfort.
For every orthopedic consultation, we provide detailed estimates for all medical, treatment, and surgical options discussed. This allows you to fully understand the anticipated costs and make informed decisions that align with your pet’s needs and your family’s goals without surprises.
Cranial Cruciate Ligament (CCL) Surgery
Cranial cruciate ligament injuries are one of the most common causes of hind-limb lameness in dogs. We carefully review the surgical and non-surgical options most appropriate for your pet and discuss expected outcomes, recovery, and long-term considerations. We offer multiple surgical options, including:
Tibial Plateau Leveling Osteotomy (TPLO)
TPLO is a surgical technique that stabilizes the knee by altering the biomechanics of the joint. By changing the angle of the tibial plateau, the procedure eliminates the need for the cranial cruciate ligament during weight bearing, helping to improve comfort and function during movement.
Tibial Plateau Leveling Osteotomy (TPLO) #1
Tibial Plateau Leveling Osteotomy (TPLO) #2
Tibial Plateau Leveling Osteotomy (TPLO) #3
Extracapsular Repair (ExCap)
This procedure stabilizes the knee by placing a strong supportive material outside the joint to limit abnormal movement caused by a torn cranial cruciate ligament. The goal is to restore joint stability, reduce pain, and allow the surrounding tissues to heal and strengthen over time.
Extracapsular (ExCap) Repair #1
Extracapsular (ExCap) Repair #2
Medial Luxating Patella (MLP) Surgery
A luxating patella occurs when the kneecap moves out of its normal position, which can cause intermittent lameness or long-term joint damage. Surgical correction is available when indicated and is tailored to the severity of the condition and your pet’s clinical signs.
Medial Patellar Luxation (MPL) Repair
Medial Patellar Luxation (MPL) with Extracapsular Repair
Femoral Head Ostectomy (FHO) Surgery
FHO surgery is an option for pets with severe hip pain due to conditions such as hip dysplasia, trauma, or chronic arthritis. By removing the damaged portion of the hip joint, pain can be significantly reduced, allowing many pets to regain comfortable mobility with proper rehabilitation.
Hip Dysplasia with Arthritis
Femoral Head Ostectomy (FHO) Before Surgery
Femoral Head Ostectomy (FHO) After Surgery
Femoral Head Surgically Removed
Fracture Repair
We provide surgical fracture repair for many types of broken bones. Treatment plans are individualized based on the location and complexity of the fracture, your pet’s age and size, and overall health.
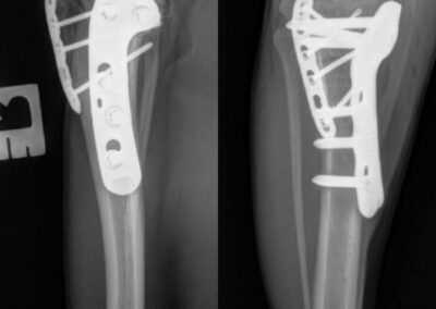
Radius Fracture Before #1
Radius Fracture Before #2
Radius Fracture After
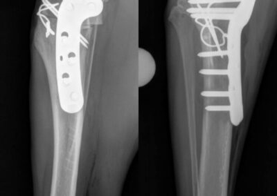
Large Dog Radius Fracture Before
Large Dog Radius Fracture After #1
Large Dog Radius Fracture After #2
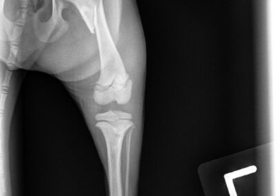
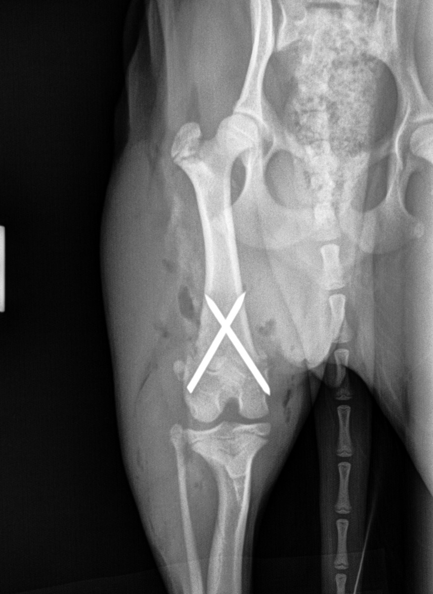
Femur Fracture Before
Femur Fracture After #1
Femur Fracture After #2
Arthritis and Chronic Pain Management
Not all orthopedic conditions require surgery. We place a strong emphasis on medical and multimodal arthritis management, which may include medications, supplements, weight management, lifestyle modifications, and rehabilitation strategies to improve comfort and mobility over time.
Amputation
In certain cases, limb amputation may be recommended to relieve severe pain, address trauma, or treat conditions such as cancer or non-healing injuries. While the idea of amputation can feel overwhelming, many pets adapt remarkably well and are able to return to a comfortable, active life. We take time to discuss when amputation may be appropriate, what recovery looks like, and how to support your pet through the transition.
If you are concerned about your pet’s movement, comfort, or quality of life, we are here to help guide you through the next steps. Our priority is thoughtful, honest communication and creating a plan that supports both you and your pet. Give us a call today to schedule a consultation for your pet’s orthopedic needs.

